ภาพการรักษา รากฟันเทียม รากเทียมแแบ All-on-4 ครอบฟันบนฟันปลอม


Dental Implants are used to replacing missing gaps. Illustrated below are some after photos of acutal dental implant cases done by our Phuket implantologists and All-on-4 dental specialists. The related graphics & cases shown in this website are for general information purposes only. Case results will vary with each individual cases. Read more information about having dental implant treatment in Phuket and about types of dental implant solutions


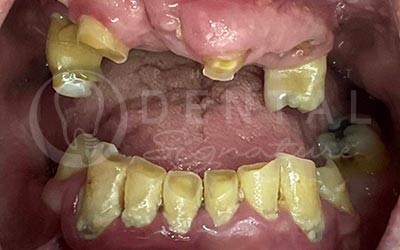
Case Gallery : All-on-4 Upper jaw and 8 Crowns Lower jaw

All-on-4 Upper jaw and 8 Crowns Lower jaw
All-on-4 Upper jaw and 8 Crowns Lower jaw

 


Case Gallery : All-on-4

Phuket Dental
Phuket Dental

 


Case Gallery : Dental Implant Dentures

Phuket Dental
Phuket Dental

Dental implant cases for full jaw replacement using dental implant supported dentures to provide retention to full dentures treated by Phuket implantologists. Implant dentures is removable, economical and prevents slipping and sliding of overdentures.
   


Case Gallery : All-on-4 & All-on-6

Phuket Dental
Phuket Dental
Dental implant cases of full jaw replacement using All-on-4 or All-on-6 dental implants with fixed hybrid bridges treated by Phuket All-on-4 oral surgeon specialists. All-on-4 implants provides for immediate function, maximizes bone support and enables a smoother transition for patients with existing teeth. For certain cases, All-on-4 with hybrid bridges may possibly be completed in one trip.

 


Case : Dental Implant Fixed Bridge

Phuket Dental
Phuket Dental
Dental implant cases of full jaw replacement using dental implants with fixed bridges provides for an ideal solution. Dental implants acts as the new tooth roots of lost teeth with bridges over implants. Implant fixed bridges feels like natural teeth and is easy to maintain and clean. Full jaw dental implant treatments at Phuket Dental Signature are done only be top certified Phuket implantologists.